Faculty Of Medicine

Blog For Young Doctors And Medical Students.

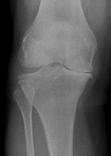
What is your medical diagnosis "89" ?

What is your medical diagnosis for this case ?


Diagnosis : Osteoarthritis of knee joint

Knee X-Ray


Find hundreds of medical spot diagnosis pictures for free in this link : "What is your diagnosis"


15 comments:

Unknown said...

osteoarthritis

Anonymous said...

gonartrite

Anonymous said...

Varus gonarthrosis

Anonymous said...

gonartrosis

Anonymous said...

osteoarthrose

Anonymous said...

osteoarthritis of medial side of right knee

andre said...

osteoarthritis

Anonymous said...

osteoarthritis

tah said...

osteo arthritis

Anonymous said...

osteoarthritis

Anonymous said...

gonoartrosis

Paradigmatican said...

gonarthrosis

Anonymous said...

osteoarthritis

Anonymous said...

ligamentum dissorder

Anonymous said...

metafisal osteosclerosis